
Diş Eti Çekilmesi Nasıl Tedavi Edilir? YouTube From www.youtube.com
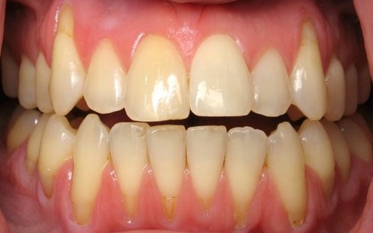
Diş eti çekilmesi aslında bir diş eti hastalığının göstergesidir.
Diş eti çekilmesi nasıl tedavi edilir video anlatımları ile yapılan işlemler ve aşamaları daha detaylı şekilde görüp bilgi sahibi olabilirsiniz. Fakat eğer diş çekilmesi ve diş eti sızlaması çok ileri bir seviyeye geldiyse bunun için cerrahi müdahele gerekmekte, ayrılan diş dokusunun yerine tekrar dikilmesi gerekmektedir. Diş eti çekilmeleri için gerekli müdahaleler doktor tarafından kişilerin kendi ihtiyaçlarına göre ve yine diş eti çekilmesi seviyesine göre yapılır. Tedavi edilmediği takdirde ilerleyerek cerrahi müdahaleye gereksinim duyabilecek. Diş eti çekilmesi, diş etlerine saldıran birkaç nedenden kaynaklandığından, aşağıdaki ev ilaçları ile hafifletilebilir veya önlenebilir: Buradaki amaç temizlikten sonra diş etinin kök yüzeyine yapışmasını sağlamaktır. Diş eti çekilmesi nasıl tedavi edilir video anlatımları ile yapılan işlemler ve aşamaları daha detaylı şekilde görüp bilgi sahibi olabilirsiniz. Diş eti çekilmesi sebepleri ve tedavi yöntemleri ile ilgili detaylı bilgi alımı için web sitemizi ziyaret edin. Diş çekilmesi tedavi sürecini hızlandırmak için doğal ürünler kullanmaya başlayın.
Source: www.youtube.com
Diş eti çekilmesi ile ilgili uygulanan tedavi yöntemleri. Diş eti çekilmesi aslında bir diş eti hastalığının göstergesidir. Diş eti çekilmesi sadece fiziksel bir problem değil sağlık açısından da önemli bir hastalıktır. Periodontoloji bilim dalı alanına giren diş eti hastalıkları farklı çeşitliliğe sahiptir. Diş eti çekilmesi sonucunda dişler ve diş eti. Diş eti çekilme tedavileri bir anlamda diş eti çekilmesinin önlemek diş eti çekilmesinin ilerlememesine yönelik.
Diş Eti Çekilmesi Nasıl Tedavi Edilir? YouTube
Source: www.hurriyet.com.tr
Diş eti iltihaplanmalarına ve diş çürümelerine neden olmaz. Eğer hastada diş eti hastalığı varsa tedavisi her ne olursa olsun, hangi tedavi uygulaması uygulanırsa uygulansın bu aşamadan. Profesyonel diş temizliği prosedüründe plaklar ve tartarlar derinlemesine temizlenir. Diş eti çekilmesi nasıl tedavi edilir video anlatımları ile yapılan işlemler ve aşamaları daha detaylı şekilde görüp bilgi sahibi olabilirsiniz. Diş eti çekilmesi yaşandıktan sonra aslında diş etleri birdaha geri gelmez. Neden oluştuysa, o sebebin tedavisi yapılmalıdır.
Diş eti çekilmesi neden olur? Nasıl tedavi edilir?
Source: www.kadinlarnette.com
Diş dokusu üzerinde meydana gelen hasar nasıl tedavi edilir? Diş eti çekilmesi tedavi yöntemleri iki şekilde olmaktadır. Diş eti çekilmesi tedavisi nasıl yapılır? Lokal anestezi ile diş eti. Muayene esnasında diş etlerinde enfeksiyona rastlanırsa antibiyotik reçete edilebilir. Meyan kökü doğal bir tatlandırıcıdır.
Diş Eti Çekilmesi Nedir, Nasıl Tedavi Edilir Kadın ve Yaşam Portalı
Source: www.kadinlarnette.com
Diş eti iltihaplanmalarına ve diş çürümelerine neden olmaz. Diş eti çekilmesi yaşandıktan sonra aslında diş etleri birdaha geri gelmez. Bunun için tartar ve bakterilerin diş. Fakat eğer diş çekilmesi ve diş eti sızlaması çok ileri bir seviyeye geldiyse bunun için cerrahi müdahele gerekmekte, ayrılan diş dokusunun yerine tekrar dikilmesi gerekmektedir. Diş eti iltihabı nasıl geçer sorusunun en basit cevabı ağızda gerekli hijyenin sağlanmasıdır. Diş eti çekilmesi nasıl tedavi edilir?
Diş Eti Çekilmesi Nedir, Nasıl Tedavi Edilir Kadın ve Yaşam Portalı
Source: www.cantabutik.com
Diş eti çekilmesi, diş etlerine saldıran birkaç nedenden kaynaklandığından, aşağıdaki ev ilaçları ile hafifletilebilir veya önlenebilir: Diş eti çekilmesi sonucunda dişlerin hasar görme olasılığı artar ve diş kaybı yaşanabilir. Diş eti iltihaplanmalarına ve diş çürümelerine neden olmaz. Diş eti çekilmesi tedavi yöntemleri iki şekilde olmaktadır. Diş eti çekilmesi bitkisel tedavilerinden biri de meyan köküdür. Diş eti çekilmesi eğer ileri bir seviyede değilse diş hekimleri tartar ve bakterilerin diş yüzeyinden uzaklaştırılması için lazer ve ultrasonik cihazlar ile tedavi uygulamaktadır.
Diş Eti Çekilmesi Neden Olur? Nasıl Tedavi Edilir?
Source: www.modafikir.com
Diş eti çekilmesi aslında bir diş eti hastalığının göstergesidir. Diş eti çekilmesi tedavi yöntemleri iki şekilde olmaktadır. Eğer diş eti çekilmesi (periodontitis) gelişmiş değilse, cerrahi olmayan tedaviler ve daha az invazif prosedürler ile tedavi süreci tamamlanabilir.
Diş Eti Hastalıkları Nasıl Tedavi Edilir? Moda
Source: www.mynet.com
Diş eti çekilmesi, dişleri saran diş eti dokusunun dişi veya diş kökünü açığa çıkartarak geri çekilmesidir. Diş eti çekilmesi sonucunda dişlerin hasar görme olasılığı artar ve diş kaybı yaşanabilir. Tedavi edilmediği takdirde ilerleyerek cerrahi müdahaleye gereksinim duyabilecek.
Diş eti çekilmesi neden olur? Diş eti çekilmesi nasıl tedavi edilir
Source: hzyusufunhayati.net
Diş eti çekilmesi sadece fiziksel bir problem değil sağlık açısından da önemli bir hastalıktır. Diş eti çekilmesi tedavisi nasıl yapılır? Diş eti çekilmesi nasıl tedavi edilir?
Diş Eti Hastalığı Nasıl Önlenir ve Nasıl Tedavi Edilir
Source: www.gulusestetigi.com
Diş eti çekilmesi sonucunda dişler ve diş eti. Buradaki amaç temizlikten sonra diş etinin kök yüzeyine yapışmasını sağlamaktır. Diş eti çekilmesi nasıl tedavi edilir video anlatımları ile yapılan işlemler ve aşamaları daha detaylı şekilde görüp bilgi sahibi olabilirsiniz.
Diş Eti Kanamasının Nedenleri Neler, Nasıl Tedavi Edilir? Gülüş Estetiği
Source: mardinhaber.com.tr
Meyan kökü doğal bir tatlandırıcıdır. Diş eti çekilmesini tedavi etmek için, ilk önce neden oluştuğunu bilmek gerekir. Diş eti çekilmesi nasıl tedavi edilir?
Diş Eti Çekilmesi Nasıl Tedavi Edilir? Mardin Haber Gazetesi
Source: www.nasil.com
Diş eti tedavilerinde kemik kaybı,. Diş eti çekilme tedavileri bir anlamda diş eti çekilmesinin önlemek diş eti çekilmesinin ilerlememesine yönelik. Diş eti çekilmesini tedavi etmek için, ilk önce neden oluştuğunu bilmek gerekir.
Diş Eti Çekilmesi Nasıl Tedavi Edilir?
Source: www.cantabutik.com
Diş eti çekilmesinden kaynaklı ağrılara iyi gelen bitkisel çözümler ve doğal. Diş çekilmesi tedavi sürecini hızlandırmak için doğal ürünler kullanmaya başlayın. Diş eti çekilmesi aslında bir diş eti hastalığının göstergesidir.
Diş Eti Çekilmesi Neden Olur? Nasıl Tedavi Edilir?
Source: antalyadisklinigi.com
Diş dokusu üzerinde meydana gelen hasar nasıl tedavi edilir? Diş eti çekilmesi sadece fiziksel bir problem değil sağlık açısından da önemli bir hastalıktır. Diş eti çekilmesi ile ilgili uygulanan tedavi yöntemleri.
Diş Eti İltihabı Belirtileri Nedir, Nasıl Tedavi Edilir?
Source: www.munevver.net
Diş eti iltihaplanmalarına ve diş çürümelerine neden olmaz. Diş çekilmesi tedavi sürecini hızlandırmak için doğal ürünler kullanmaya başlayın. Diş eti çekilmesi tedavisi nasıl yapılır?
Diş Eti Çekilmesi Nasıl Tedavi Edilir?
Source: evrendis.com
Fakat eğer diş çekilmesi ve diş eti sızlaması çok ileri bir seviyeye geldiyse bunun için cerrahi müdahele gerekmekte, ayrılan diş dokusunun yerine tekrar dikilmesi gerekmektedir. Diş eti çekilmesi bitkisel tedavilerinden biri de meyan köküdür. Diş eti çekilmesi, diş etlerine saldıran birkaç nedenden kaynaklandığından, aşağıdaki ev ilaçları ile hafifletilebilir veya önlenebilir:
Diş Eti Kanaması Neden olur? Nasıl Tedavi edilir? Uzman görüşü.
Source: dentistsgroup.com.tr
Diş eti çekilmesi, diş etlerine saldıran birkaç nedenden kaynaklandığından, aşağıdaki ev ilaçları ile hafifletilebilir veya önlenebilir: Diş çekilmesi tedavi sürecini hızlandırmak için doğal ürünler kullanmaya başlayın. Tüm sağlıklı bireylere önerildiği gibi diş eti iltihabı sorunu yaşayan kişilere de.
Dişeti çekilmesi neden olur? Dişeti Çekilmesi Nasıl tedavi edilir
Source: www.kadinlarnette.com
Diş eti çekilmesi yaşandıktan sonra aslında diş etleri birdaha geri gelmez. Diş eti çekilmesi tedavisi nasıl yapılır? Diş eti çekilmesi, dişleri saran diş eti dokusunun dişi veya diş kökünü açığa çıkartarak geri çekilmesidir.
Diş Eti Çekilmesi Nedir, Nasıl Tedavi Edilir Kadın ve Yaşam Portalı
Source: sayinortodonti.com
Diş eti çekilmesi nasıl tedavi edilir? Tedavi edilmediği takdirde ilerleyerek cerrahi müdahaleye gereksinim duyabilecek. Diş eti iltihabı nasıl geçer sorusunun en basit cevabı ağızda gerekli hijyenin sağlanmasıdır.
Diş Eti Çekilmesi Nedir? Nasıl Tedavi Edilir? Sayın Ortodonti
Source: www.formsante.com.tr
Diş eti iltihaplanmalarına ve diş çürümelerine neden olmaz. Eğer hastada diş eti hastalığı varsa tedavisi her ne olursa olsun, hangi tedavi uygulaması uygulanırsa uygulansın bu aşamadan. Bunun için tartar ve bakterilerin diş.
Diş eti çekilmesinin nedeni nedir? Nasıl tedavi edilir? Formsanté
Source: baydent.com.tr
Diş dokusu üzerinde meydana gelen hasar nasıl tedavi edilir? Diş eti iltihaplanmalarına ve diş çürümelerine neden olmaz. Bunun için tartar ve bakterilerin diş.
Diş Eti Apsesi Nasıl Tedavi Edilir? Baydent
Source: www.kadinlarnette.com
Diş eti çekilmesi, diş etlerine saldıran birkaç nedenden kaynaklandığından, aşağıdaki ev ilaçları ile hafifletilebilir veya önlenebilir: Muayene esnasında diş etlerinde enfeksiyona rastlanırsa antibiyotik reçete edilebilir. Diş eti çekilmesi bitkisel tedavilerinden biri de meyan köküdür.
Diş Eti Çekilmesi Nedir, Nasıl Tedavi Edilir Kadın ve Yaşam Portalı
Source: www.youtube.com
Diş eti çekilmesi nasıl tedavi edilir? Eğer hastada diş eti hastalığı varsa tedavisi her ne olursa olsun, hangi tedavi uygulaması uygulanırsa uygulansın bu aşamadan. Diş eti çekilmesi, diş etlerine saldıran birkaç nedenden kaynaklandığından, aşağıdaki ev ilaçları ile hafifletilebilir veya önlenebilir:
Diş Eti Çekilmesi Nasıl Tedavi Edilir? YouTube
Source: www.ercebelecoglu.com.tr
Periodontoloji bilim dalı alanına giren diş eti hastalıkları farklı çeşitliliğe sahiptir. Diş eti çekilmesi, dişleri saran diş eti dokusunun dişi veya diş kökünü açığa çıkartarak geri çekilmesidir. Meyan kökü doğal bir tatlandırıcıdır.
Diş Eti Tedavisi Diş Eti Nasıl Tedavi Edilir? Diş Eti Tedavi Ücreti
Source: www.eniyivitamin.com
Tedavi edilmediği takdirde ilerleyerek cerrahi müdahaleye gereksinim duyabilecek. Diş eti çekilme tedavileri bir anlamda diş eti çekilmesinin önlemek diş eti çekilmesinin ilerlememesine yönelik. Diş fırçanız doktorunuzun önerisine göre mutlaka hassas dişler için olmalıdır.
Diş Eti Çekilmesi Nedir, Nasıl Tedavi Edilir? En İyi Vitamin
Source: www.kadinlarnette.com
Diş eti çekilmesi eğer ileri bir seviyede değilse diş hekimleri tartar ve bakterilerin diş yüzeyinden uzaklaştırılması için lazer ve ultrasonik cihazlar ile tedavi uygulamaktadır. Diş çekilmesi tedavi sürecini hızlandırmak için doğal ürünler kullanmaya başlayın. Diş eti çekilmesi tedavisi için öncelikle muayene gerekir.
Diş Eti Çekilmesi Nedir, Nasıl Tedavi Edilir Kadın ve Yaşam Portalı
Source: www.sabah.com.tr
Fakat eğer diş çekilmesi ve diş eti sızlaması çok ileri bir seviyeye geldiyse bunun için cerrahi müdahele gerekmekte, ayrılan diş dokusunun yerine tekrar dikilmesi gerekmektedir. Diş eti çekilmesi nasıl tedavi edilir? Diş eti çekilmesi yaşandıktan sonra aslında diş etleri birdaha geri gelmez.
Diş eti çekilmesi nasıl tedavi edilir? videosunu izle Sabah TV
Source: www.hurriyet.com.tr
Meyan kökü doğal bir tatlandırıcıdır. Diş eti çekilmesi aslında bir diş eti hastalığının göstergesidir. Birinci yöntemde diş etinin mevcut durumunun korunması ve takip edilmesi, ikinci yöntem ise cerrahi yöntemle müdahale.
Diş eti çekilmesi neden olur? Nasıl tedavi edilir?
Source: www.tanklinik.com
Buradaki amaç temizlikten sonra diş etinin kök yüzeyine yapışmasını sağlamaktır. Diş eti çekilmesi sonucunda dişlerin hasar görme olasılığı artar ve diş kaybı yaşanabilir. Diş eti çekilmesi sebepleri ve tedavi yöntemleri ile ilgili detaylı bilgi alımı için web sitemizi ziyaret edin.
Diş Eti Çekilmesi Nasıl Tedavi Edilir ? Tan Klinik
Source: www.eniyivitamin.com
Diş eti çekilmesi aslında bir diş eti hastalığının göstergesidir. Diş eti çekilmesi, dişleri saran diş eti dokusunun dişi veya diş kökünü açığa çıkartarak geri çekilmesidir. Diş eti çekilmesi, diş etlerine saldıran birkaç nedenden kaynaklandığından, aşağıdaki ev ilaçları ile hafifletilebilir veya önlenebilir:
Diş Eti Çekilmesi Nedir, Nasıl Tedavi Edilir? En İyi Vitamin
Source: www.milliyet.com.tr
Diş eti çekilmesi nasıl tedavi edilir video anlatımları ile yapılan işlemler ve aşamaları daha detaylı şekilde görüp bilgi sahibi olabilirsiniz. Birinci yöntemde diş etinin mevcut durumunun korunması ve takip edilmesi, ikinci yöntem ise cerrahi yöntemle müdahale. Diş eti çekilmesi nasıl tedavi edilir?
Diş Eti Hastalıkları Ve Tedavisi... Diş Eti Çekilmesi Nasıl Tedavi
Source: www.periodent.net
Diş eti çekilmesi bitkisel tedavilerinden biri de meyan köküdür. Diş eti çekilmesi sebepleri ve tedavi yöntemleri ile ilgili detaylı bilgi alımı için web sitemizi ziyaret edin. Diş eti çekilmesi nasıl tedavi edilir?
Diş Eti Çekilmesi Nedir? Nasıl Tedavi Edilir? Periodent
Source: www.sabah.com.tr
Diş eti çekilmesi nasıl tedavi edilir? Diş eti çekilmesini tedavi etmek için, ilk önce neden oluştuğunu bilmek gerekir. Buradaki amaç temizlikten sonra diş etinin kök yüzeyine yapışmasını sağlamaktır.
Diş hassasiyeti nasıl tedavi edilir? Sağlık Haberleri
Source: www.hurriyet.com.tr
Diş fırçanız doktorunuzun önerisine göre mutlaka hassas dişler için olmalıdır. Muayene esnasında diş etlerinde enfeksiyona rastlanırsa antibiyotik reçete edilebilir. Eğer diş etlerinde enfeksiyon bulunuyorsa antibiyotik reçete edilebilir.
Diş eti çekilmeleri nasıl tedavi edilir?
Source: www.mynet.com
Profesyonel diş temizliği prosedüründe plaklar ve tartarlar derinlemesine temizlenir. Periodontoloji bilim dalı alanına giren diş eti hastalıkları farklı çeşitliliğe sahiptir. Diş eti iltihabı nasıl geçer sorusunun en basit cevabı ağızda gerekli hijyenin sağlanmasıdır.
Diş eti çekilmesine ne iyi gelir? Diş eti çekilmesi nasıl tedavi edilir
Source: keyfimineseri.blogspot.com
Diş eti tedavilerinde kemik kaybı,. Eğer hastada diş eti hastalığı varsa tedavisi her ne olursa olsun, hangi tedavi uygulaması uygulanırsa uygulansın bu aşamadan. Diş eti çekilmesi sonucunda dişlerin hasar görme olasılığı artar ve diş kaybı yaşanabilir.
Diş Eti Çekilmesi Nedenleri ve Tedavi Yöntemleri
Source: akinpisiren.com
Diş eti çekilmesi tedavisi için öncelikle muayene gerekir. Periodontoloji bilim dalı alanına giren diş eti hastalıkları farklı çeşitliliğe sahiptir. Diş eti çekilmesinden kaynaklı ağrılara iyi gelen bitkisel çözümler ve doğal.
Diş Eti Hastalıkları ve Tedavileri Nelerdir? Diş Eti Çekilmesi Nasıl
Source: www.uzmantedavi.net
Buradaki amaç temizlikten sonra diş etinin kök yüzeyine yapışmasını sağlamaktır. Diş eti çekilmesi, diş etlerine saldıran birkaç nedenden kaynaklandığından, aşağıdaki ev ilaçları ile hafifletilebilir veya önlenebilir: Muayene esnasında diş etlerinde enfeksiyona rastlanırsa antibiyotik reçete edilebilir.
Diş Eti Çekilmesi Nasıl Tedavi Edilir?
Source: www.munevver.net
Diş eti çekilmesi tedavisi için öncelikle muayene gerekir. Eğer diş eti çekilmesi (periodontitis) gelişmiş değilse, cerrahi olmayan tedaviler ve daha az invazif prosedürler ile tedavi süreci tamamlanabilir. Birinci yöntemde diş etinin mevcut durumunun korunması ve takip edilmesi, ikinci yöntem ise cerrahi yöntemle müdahale.
Diş Eti Çekilmesi Nasıl Tedavi Edilir?
Source: www.usakgundem.com
Diş eti çekilmesi sadece fiziksel bir problem değil sağlık açısından da önemli bir hastalıktır. Diş eti çekilmesi sonucunda dişler ve diş eti. Tüm sağlıklı bireylere önerildiği gibi diş eti iltihabı sorunu yaşayan kişilere de.
Diş Eti Hassasiyeti Nedir, Nasıl Tedavi Edilir?
Source: www.kadinlarnette.com
Meyan kökü doğal bir tatlandırıcıdır. Birinci yöntemde diş etinin mevcut durumunun korunması ve takip edilmesi, ikinci yöntem ise cerrahi yöntemle müdahale. Diş eti çekilmesi, diş etlerine saldıran birkaç nedenden kaynaklandığından, aşağıdaki ev ilaçları ile hafifletilebilir veya önlenebilir: